
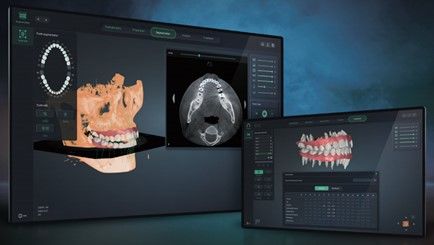
(사진=라온피플) *재판매 및 DB 금지
[서울=뉴시스] 김경택 기자 = 인공지능(AI) 메디컬 전문기업 라온메디는 회사가 개발한 치과 투명교정소프트웨어 '얼라인스튜디오(Align Studio)가 최근 미국 식품의약국(FDA) 의료기기 승인을 받았다고 18일 밝혔다.
회사 측에 따르면 얼라인스튜디오는 치아 스캔 데이터를 기본으로 치과 투명교정을 위한 진단과 장치 제작을 실시간으로 할 수 있는 소프트웨어다. 덴탈용 CT(컴퓨터단층촬영)영상과 엑스레이 영상 등을 추가로 활용하면 보다 전문적인 진단이 가능하며, CT영상에서 AI(인공지능)가 치아를 자동으로 분리해 이동과 변화를 확인할 수 있는 고도의 기술력을 구현하면서 미국 FDA 승인을 최종 획득했다.
이번 FDA 승인에 따라 라온메디는 얼라인스튜디오의 AI 역량을 더욱 강화해 '원클릭(One Click)' 만으로 임상에서 치아 정렬을 제시하는 소프트웨어를 출시할 예정이다. 플랫폼 출시를 통해 다양한 장소에 있는 치과 관계자들이 손쉽게 소프트웨어를 구독해서 사용할 수 있도록 서비스를 확대해 나갈 예정이다.
한편 AI 전문기업 라온피플의 자회사 라온메디는 인공지능 의료기기와 소프트웨어를 개발하는 기업이다. 식약처로부터 수면무호흡증 다원검사 AI 진단 소프트웨어 '라온 슬립(Laon Sleep)'에 대한 대한민국 11호 혁신의료기기 인증을 획득하기도 했다.
◎공감언론 뉴시스 [email protected]
