관상동맥 석회화, 45세 미만 빨라
45세 이상 사망 위험은 최대 8.57배
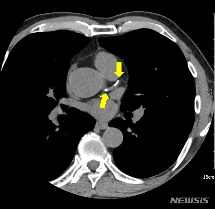
![[서울=뉴시스]관상동맥 석회화란 심장에 산소와 영양분을 공급해주는 혈관인 관상동맥에 동맥경화증으로 칼슘이 쌓여 혈관이 딱딱하게 굳어지는 현상을 말한다. (이미지= 강북삼성병원 제공) 2023.03.08. photo@newsis.com.](https://img1.newsis.com/2023/03/08/NISI20230308_0001211670_web.jpg?rnd=20230308094159)
[서울=뉴시스]관상동맥 석회화란 심장에 산소와 영양분을 공급해주는 혈관인 관상동맥에 동맥경화증으로 칼슘이 쌓여 혈관이 딱딱하게 굳어지는 현상을 말한다. (이미지= 강북삼성병원 제공) 2023.03.08. [email protected].
[서울=뉴시스] 백영미 기자 = 45세 미만 젊은층의 관상동맥 석회화로 인한 심근경색·협심증 등 심혈관 질환 사망 위험도가 중·장년층보다 훨씬 높다는 연구 결과가 나왔다. 관상동맥 석회화란 심장에 산소와 영양분을 공급해주는 혈관인 관상동맥에 동맥경화증으로 칼슘이 쌓여 혈관이 딱딱하게 굳어지는 현상을 말한다.
성균관의대 강북삼성병원·서울건진센터 강정규 교수·데이터관리센터 류승호·장유수 교수 연구팀은 2010년~2020년 사이에 강북삼성병원 건강검진센터에서 관상동맥 컴퓨터단층촬영(CT)을 한 성인 16만821명 대상으로 관상동맥 석회화 점수와 심혈관 질환의 사망 위험도를 분석한 결과 이 같은 사실을 확인했다고 8일 밝혔다.
연구팀은 연구 대상자들을 45세 미만 젊은층과 45세 이상 중·장년층으로 나눠 관상동맥을 평균 5.6년 간 추적 관찰했다. 그 결과 관상동맥 석회화 점수가 100점을 초과하는 45세 이상 중·장년층 그룹은 관상동맥 석회화 점수가 0인 그룹에 비해 사망 위험도가 8.57배, 300점을 초과하는 그룹에서는 사망 위험도가 6.41배 증가했다.
반면 관상동맥 석회화 점수가 100점을 초과하는 45세 미만 젊은층은 관상동맥 석회화 점수가 0인 그룹에 비해 사망 위험도가 22배, 300점을 초과하는 그룹에서는 사망 위험도가 74배 증가해 젊은층의 사망 위험도가 훨씬 높은 것으로 나타났다.
강 교수는 “이번 연구는 젊은층에서 발생하는 관상동맥 석회화의 속도가 빠르다는 것을 의미한다”며 “젊은 나이에 발생한 동맥경화는 나이가 들어 발생한 동맥경화보다 더욱 위협적일 수 있다”고 말했다.
이어 “젊은층도 관상동맥 석회화 예방을 위해 건강한 식습관, 규칙적인 운동, 금연, 금주 등 생활습관을 관리하고, 동맥경화 위험군이라면 관상동맥 석회화 CT 등을 통해 심혈관 질환의 위험성을 정밀하게 평가해 약물 치료가 예방에 도움이 될지 확인하는 것이 좋다”고 덧붙였다.
이번 연구 결과는 국제 학술지인 '유러피안 하트 저널-카디오바스큘러 이메이징(European Heart Journal – Cardiovascular Imaging)' 최근호에 실렸다.
◎공감언론 뉴시스 [email protected]
성균관의대 강북삼성병원·서울건진센터 강정규 교수·데이터관리센터 류승호·장유수 교수 연구팀은 2010년~2020년 사이에 강북삼성병원 건강검진센터에서 관상동맥 컴퓨터단층촬영(CT)을 한 성인 16만821명 대상으로 관상동맥 석회화 점수와 심혈관 질환의 사망 위험도를 분석한 결과 이 같은 사실을 확인했다고 8일 밝혔다.
연구팀은 연구 대상자들을 45세 미만 젊은층과 45세 이상 중·장년층으로 나눠 관상동맥을 평균 5.6년 간 추적 관찰했다. 그 결과 관상동맥 석회화 점수가 100점을 초과하는 45세 이상 중·장년층 그룹은 관상동맥 석회화 점수가 0인 그룹에 비해 사망 위험도가 8.57배, 300점을 초과하는 그룹에서는 사망 위험도가 6.41배 증가했다.
반면 관상동맥 석회화 점수가 100점을 초과하는 45세 미만 젊은층은 관상동맥 석회화 점수가 0인 그룹에 비해 사망 위험도가 22배, 300점을 초과하는 그룹에서는 사망 위험도가 74배 증가해 젊은층의 사망 위험도가 훨씬 높은 것으로 나타났다.
강 교수는 “이번 연구는 젊은층에서 발생하는 관상동맥 석회화의 속도가 빠르다는 것을 의미한다”며 “젊은 나이에 발생한 동맥경화는 나이가 들어 발생한 동맥경화보다 더욱 위협적일 수 있다”고 말했다.
이어 “젊은층도 관상동맥 석회화 예방을 위해 건강한 식습관, 규칙적인 운동, 금연, 금주 등 생활습관을 관리하고, 동맥경화 위험군이라면 관상동맥 석회화 CT 등을 통해 심혈관 질환의 위험성을 정밀하게 평가해 약물 치료가 예방에 도움이 될지 확인하는 것이 좋다”고 덧붙였다.
이번 연구 결과는 국제 학술지인 '유러피안 하트 저널-카디오바스큘러 이메이징(European Heart Journal – Cardiovascular Imaging)' 최근호에 실렸다.
◎공감언론 뉴시스 [email protected]
