![[익산=뉴시스] =원광대병원 전경. (사진 = 뉴시스 DB) photo@newsis.com](https://img1.newsis.com/2020/06/09/NISI20200609_0000541762_web.jpg?rnd=20200609131645)
[익산=뉴시스] =원광대병원 전경. (사진 = 뉴시스 DB) [email protected]
[익산=뉴시스] 강명수 기자 = 원광대학교병원은 신종 코로나바이러스 감염증(코로나19) 확산 상황에서도 권역외상센터, 권역응급의료센터를 유지하고 있다. 또 암센터 진료 활성화로 수도권으로 쏠렸던 환자들이 되돌아와 안심하고 진료 받을 수 있는 환경 조성에 주력하고 있다.
전북도민의 건강을 책임지고 있는 원광대병원의 산부인과 명의를 통해 여성 질환의 실체와 예방법 등을 알아본다.
전북도민의 건강을 책임지고 있는 원광대병원의 산부인과 명의를 통해 여성 질환의 실체와 예방법 등을 알아본다.
![[익산=뉴시스] =조해중 원광대학교 의과대학 산부인과 주임교수.](https://img1.newsis.com/2020/09/14/NISI20200914_0000599885_web.jpg?rnd=20200914104219)
[익산=뉴시스] =조해중 원광대학교 의과대학 산부인과 주임교수.
조해중 의대 산부인과 주임교수의 도움으로 월경통과 생리량 과다를 일으키는 흔한 질환인 자궁근종과 자궁선근증에 대해 들어봤다.
여성들은 성별적 특성상 매달 반드시 겪는 과정이 있다.바로 ‘월경’이다. 이 기간 동안 생리통을 비롯하여 여러 가지 신체적인 불편함과 정신적인 스트레스를 겪는 경우가 많다. 이러한 현상은 여성의 삶의 질을 저하시키고 각종 후유증을 초래할 수 있다.
◇정상적인 월경의 양과 주기는 어느 정도일까. 월경통 원인은
월경 시 나오는 월경혈의 3분의 1은 혈액, 3분의 2는 자궁내막조직으로 구성된다.
정상 월경의 주기는 21~35일의 주기를 가지며, 기간은 평균 4.7일 정도로 2~6일 범위에 포함되면 정상 월경으로 판단한다. 또 월경의 양은 20~60㎖(평균 35㎖) 정도다.
생리대의 3시간 마다 교환, 한 주기에 21개 이하 사용, 드물게 밤에 생리대 교환. 혈전 2.5㎝ 이하, 빈혈 증상이 없을 경우 정상으로 볼 수 있다.
월경통은 주기적으로 발생하는 월경에 동반된 하복부의 통증으로, 일차성 월경통은 부인과적 이상이 동반되지 않는 주기적인 통증으로 배란과 밀접한 연관성이 있고, 초경이후 3년 이내(20세 이전)에 발견되는 경우가 많다.
증상은 주로 자궁근육의 경련 양상으로 나타나며, 프로스타글란딘과 대사산물에 의한 두통, 발한, 빈맥, 오심, 구토, 설사 등과 같은 증상들이 동반된다.
이차성 월경통은 부인과적 질환 예를 들면 자궁근종, 자궁선근증, 자궁내막증으로 인해 나타나는 월경통을 말하며 월경이 시작되기 전부터 통증이 시작돼 월경이 끝난 이후에도 통증이 지속될 수 있다.
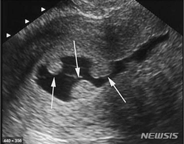
![[익산=뉴시스] =자궁내막용종 초음파 사진.](https://img1.newsis.com/2020/09/14/NISI20200914_0000599892_web.jpg?rnd=20200914104540)
[익산=뉴시스] =자궁내막용종 초음파 사진.
◇월경량이 많아지면 자궁근종(myoma uteri)일까?
자궁근종은 여성에서 발생하는 종양 가운데 가장 흔한 종양으로, 특히 가임기 여성의 약 20~50%에서 발견된다.
자궁근종의 발생은 여러 가지 원인 즉 연령, 유전성 및 호르몬, 인종 등이 관여하지만 발생 원인이나 기전이 명확히 밝혀져 있지 않다.
여성호르몬인 에스트로겐에 의해서 자궁근종이 발달하고 성장하며, 임신과 같이 스테로이드 호르몬 농도가 높아지는 시기에는 크기가 커질 수 있고, 일반적으로 폐경기가 되면 퇴화한다.
자궁근종을 가진 환자의 50% 정도는 아무런 증상이 없이 우연히 시행한 검사에서 발견되고 나머지 50%에서 근종의 개수, 크기 및 위치에 따라 다양한 증상이 발생한다.
비정상자궁출혈로 인한 빈혈이 발생할 수 있고, 큰 자궁근종에서 조직의 부분적인 괴사나 자루형의 장막하근종의 염전등에 의해 통증이 발생할 수 있고, 거대한 크기의 자궁근종 때문에 인접부의 신경계, 하부 비뇨기계, 소화기계 등을 압박하여 요통, 빈뇨, 변비 등을 일으킬 수도 있다.
진단은 골반진찰, 초음파, 전산화단층촬영(CT)과 자기공명영상(MRI)로 이뤄진다.
자궁근종은 악성으로 변할 가능성(0.2~2%)이 낮기 때문에 증상이 없는 경우에는 치료를 하지 않고 지켜보기도 한다.
하지만 빈혈을 유도할 정동의 비정상적인 자궁출혈, 심한 월경통·성교통 또는 하복부 압박감이나 통증, 급성 통증, 요로 압박으로 인한 수신증이 발생하거나 방광 압박으로 인한 빈뇨증상, 불임의 유일한 원인으로 생각되거나 자궁내강의 변형으로 인한 반복유산, 악성이 의심되는 경우 수술을 시행한다.
환자의 상태나 근종의 위치에 따라 중재적 시술을 할 수 있다.
중재적 시술에는 초음파 유도하에 자궁근종 중앙부에 고주파를 발생하는 바늘을 삽입해 근종을 열 치료하는 방법인 고주파 근종 용해술이 있다.
또 자궁근종 부위에 고강도로 집약한 초음파를 한 곳의 초점을 정하고 집중적으로 쬐어 열을 발생시킴으로써 종양의 응고괴사를 일으키는 고강도 집속 초음파치료(high intensity focused ultrasound ablation, HIFU), 자궁동맥 색전술이 있다.
![[익산=뉴시스] =정상자궁과 자궁선근증이 있는 자궁.](https://img1.newsis.com/2020/09/14/NISI20200914_0000599894_web.jpg?rnd=20200914104706)
[익산=뉴시스] =정상자궁과 자궁선근증이 있는 자궁.
◇월경통이 점점 심해지면 자궁선근증(adenomyosis)일까
자궁선근증은 자궁내막증과 더불어 가임기 여성에서 골반통, 월경통, 불임을 유발하는 질환으로 자궁내막조직이 자궁근층으로 침범해 발생한다.
대체로 40세 이상의 여성에서 많이 발생하지만, 젊은 여성층에서 발생하기도 하는데 이는 난임의 원인이 되기도 한다.
자궁선근증 환자의 3분의 1에서는 특별한 증상이 없지만, 3분의 2에서는 가장 흔한 증상으로 월경과다(50%), 월경곤란증(30%), 자궁출혈(20%), 성교통 및 불임도 발생할 수 있다.
약물치료로는 성선자극호르몬분비호르몬작용제, 경구피임약, 레보노르게스트렐 자궁내 삽입장치(미레나), 황체호르몬 등이 사용되나 근본적인 치료방법은 전자궁절제술입니다. 만일 부위가 국한되어 있고 향후 임신을 원하지 않으나 자궁보존을 원하는 여성에서 국소적으로 자궁선근증을 절제할 수도 있다.
자궁근종과 자궁선근증 외에 만성골반통이나 월경과다를 일으킬 수 있는 질환으로는 자궁내막증, 자궁내막용종이 있다.
조해중 교수는 한국의료분쟁조정중재원 조정위원으로 대한모체태아의학회 호남지회 지회장, 대한산부인과학회 정회원, 대한주산의학회지 편집위원, 대한모체태아의학회 역학조사위원회 간사 등을 맡고 있다.
◎공감언론 뉴시스 [email protected]
